「詰め物が取れたら黒くなっていた」 「銀歯を取ってみたらまた虫歯になっていた」

皆さん、こんな経験ないですか??

原因は、合接用セメントの漏洩(溶け出すこと)です。

銀歯は歯と接着しない材料ですから時間と共にセメントが溶け出します。流出したその隙間から虫歯が再発するのです。一見、丈夫に見える銀歯ですが、10年で50%以上の歯が虫歯の再発を起こすと言われています。

また、CR(レジン)は、硬化時の収縮が虫歯再発の原因となります。CRを詰めて固めた瞬間に3~5%収縮する為、境目がはがれて隙間ができたり、歯にヒビが入ったりします。

セレックブロックは、歯との接着性が非常に高いので、接着剤が漏洩することはありませんし、セラミック素材なので収縮もしません。

また、当日仕上げである為、切削面が汚染される心配がなく、虫歯再発のリスクを長期的に抑えることができます。 規格生産される工業製品なので品質が高く、技工士の技術(腕)に左右されることがないのも特徴です。

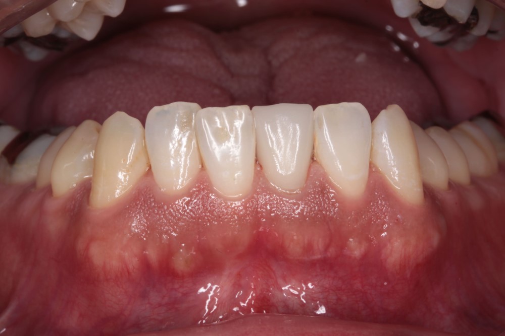
セレック(CEREC)治療

セレック治療とは

高精度・高品質・低価格


セレック治療とは、歯科用機器「CEREC(セレック)」を使った治療のことをいいます。
コンピュータを使用し、詰め物(インレー)や被せ物(クラウン)を院内にて作製します。
もちろん素材は高品質のセラミックブロックを使用するため、金属アレルギーの心配もありません。
また、歯型を専用カメラに行うため、従来の歯型取り時の不快感も少なく、お口の中で固まるまで待つ必要がありません。
詰め物・かぶせものの変形やエラーが少ないため、精度の高い、高品質で白い歯が作製できるようになりました。

セレック治療の特徴


1.1visitトリートメント
虫歯の再発リスクを考えると、1日で治療を完了させることがとても重要です。
従来の1dayトリートメントでは、午前と午後に分けて治療にあたる場合がありましたが、現在の1visitトリートメントでは、1度のご来院で治療を完結させることが可能となりました。しかも治療時間は最短で45分程度。

2.天然歯のような美しさ
規格生産されたセレックブロックは、その高い耐久性により10年後の生存率が90%以上という高い結果を残しています。

3.2次的虫歯の予防セラミック
天然歯との接着性が高く、隙間が発生しない為、虫歯の再発リスクを長期的に低く抑えることが可能です。

4.費用がリーズナブル
セレック治療では修復物をクリニック内で作製するため、歯科技工所に依頼しません。費用を削減でき、リーズナブルにセラミックがご提供できるのです。
セレック治療の流れ

セレック治療の流れ

口腔内スキャン

口腔内スキャン

口腔内スキャン(歯型どり)

むし歯を削ったあと、3D光学カメラで口腔内を撮影します(スキャン)。 今までのような型取りの不快感を味わうことはありません。わずか数分の作業で、患部の歯列がモニター上に再現されます。 ※症例により型取りが必要な場合もあります。
修復物設計

修復物設計

修復物設計

コンピュータの3D画面上でセラミックスの修復物を設計します。 モニター上で歯の形態や噛み合わせの調整を、あらゆる角度から行い、理想的な形にしていきます。 設計後は様々な色のセラミックスブロックから最適な色のものを選定します。
修復物作製

修復物作製

修復物作製

ミリングマシンと呼ばれる機械(CAM)が、コンピュータで設計されたデータをもとにセラミックブロックを削り出し、修復物を精密に整えていきます。
口腔内セット

口腔内セット

口腔内セット

削り出されたセラミックスの修復物を研磨し口腔内へセットします。 これで治療完了となります。
キレイな歯とキレイな口元で思いっきり笑おう!

キレイな歯とキレイな口元で思いっきり笑おう!

キレイな歯とキレイな口元で思いっきり笑おう!

笑ったときにちらりと覗く銀歯、気になりますよね。セレックのセラミック治療なら歯の見た目を美しくし、なおかつ健康なお口にするための治療です。歯の印象は、あなたの印象に深くかかわります。ぜひセレックのセラミック治療で健康で快適な毎日を手に入れてください。